100% 保证满意。若效果不理想,可免费重做或退款。须符合条款与细则。
专属您的亮白微笑方案
关于我们
在 SMILE+,我们专注于提供专业的牙齿美白服务,帮助您自信绽放更加洁白亮丽的笑容。无论是为重要场合做准备,还是想提升外在形象,我们的疗程都能为您带来高效、安全且持久的美白效果。
流程说明
全面检查牙齿状况,并说明疗程是否适合您。
涂抹凡士林并使用扩口器,确保疗程舒适顺利。
拍摄照片并记录牙齿颜色,便于护理后对比。
轻柔清洁牙齿表面污渍,提升美白效果。
使用安全认证配方,适合敏感牙齿与牙釉质保护。
使用LED冷光激活凝胶,疗程依牙齿情况进行1至3轮。
清除凝胶后对比牙色,立即见效。
避免72小时内食用深色食物,并提供个性化护理建议。
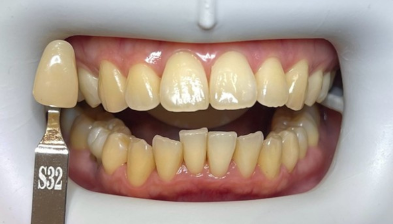
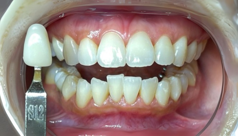
真实对比图

second time here Highly recommend comfy and the staffs very friendly 🙌🏻
Good service! I'm very satisfied with the results.
After being disappointed with the results from dentist, I decided to give it a try. After seeing the initial results, I’m booked another session for an even brighter smile.Plus point, there is no irritation or pain. Too comfortable, i even fall asleep during the treatment. I’ll definitely be back to achieve a whiter shade.
I was satisfied with the result. The staff are very friendly and nice. The environment is also comfortable👍🏻Overall I have a good experience here!
Had an excellent teeth whitening experience at Smile+ Teeth Whitening! The staff were friendly, and the results were immediate, my teeth are visibly whiter. Quick, painless, and professional. Highly recommend!
It was a great experience, i was so satisfied with the results and the staff here is friendly and nice.
Got my teeth whitened here recently, and overall, it was pretty good! The staff were friendly, and the process was pretty smooth. My teeth definitely came out looking brighter. Not the most mind-blowing transformation, but still solid results. I’d say worth a try if you’re looking for a quick and easy way to freshen up your smile.
I've been satisfied since my first visit here, and my teeth have never been whiter. As a heavy coffee drinker, I noticed a significant improvement after my second visit. My shade went from 36 to 18 after the second treatment 💕 I'm definitely coming back for more whitening sessions because I'm thrilled with the results. The staff is gentle and helpful as well. I highly recommend this place to anyone considering the treatment 🫶🏻 Thank you!
This place offers a calm and professional environment for teeth whitening. They begin with a thorough consultation, explaining the treatment process in detail before starting. The appointments are punctual, and they offer a payment plan with installments up to 12 months. After my first session, my teeth improved from an S30 shade to an S18 shade, and after the second session, they brightened further to an S10 shade. I highly recommend this place for achieving a beautiful smile.
I had my first whitening experience at Smile+ Teeth Whitening and it went so good. First of all, all the staff here is nice and very helpful. The first thing I had a consult for my teeth then we start the treatment after that. The staff brief to me from time to time. It was a great experience and as you can see the picture shown below. It shows how my teeth improve so much. From S22 to S6 after two time treatment. Really recommend for you guys to have teeth whitening treatment here. Plus point the place is very comfortable. You will have a pleasant treatment here.
I have been trying for teeth whitening at many dental clinic but regardless the amount I paid, I don't see any significant changes. But the first time I came to smile+ after seeing many good review, I was truly surprised by the results. Now after four treatments in a year, my shades from s30 became S10 today. I am really grateful for the results I get! Not to mention, the friendly staff and good environment here
Hi, I already had 2 times treatment for 3 cycles here. I would say that its great! My teeth went from shade 32 and now shade 10. Its all whiten up already! The staffs are super friendly too. The environment is aesthetically pleasing as well. Dont forget to visit their clinic 🤍
I was so satisfied with the result. The staff are very friendly and efficient. Actually, this place is quite far from where i live, but it was worth it to come. btw I had good nap time always while treatment . haha
I did my teeth whitening treatment at this branch. And i can see so much differences in the shades. As you can see in the photo my shade was at S30 and after the 3rd treatment mine is at S8! I would highly recommend for you to try the teeth whitening treatment here! And also friendly and helpful staff ☺️ would definitely repeat the treatment here!
I’m so glad found this place and do my whitening teeth here. The experience was so fantastic, all the staff were nice. My teeth got more white even after first session and I am so happy to do second session. Will recommend to others too.
Had 2 sessions of teeth whitening here within 2 months and i loved it! The staffs are friendly and they explained to me thoroughly on the whitening process and my teeth scale. Most importantly i can see the results instantly! Recommended and will surely come back👍🏻👍🏻👍🏻
good service from this shop, very recommended! on my first session the result was amazing. anyone want to do teeth whitening can go here, and also great service from the staffs 🫶🏻✨🩷